Scoperti microbi alieni fossili?
0 commenti

Ci risiamo: dopo la presunta scoperta di fossili di batteri alieni in un meteorite proveniente da Marte, il famoso ALH84001, e dopo la presunta scoperta di microbi alieni su presunti meteoriti provenienti da Encelado, una luna di Saturno, ecco un nuovo studio che sembra dimostrare al 100% (a detta degli autori) l'esistenza di vita nello spazio:
http://journalofcosmology.com/Life100.html
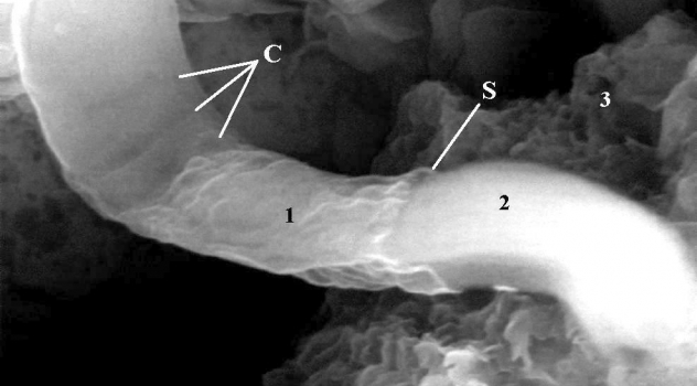
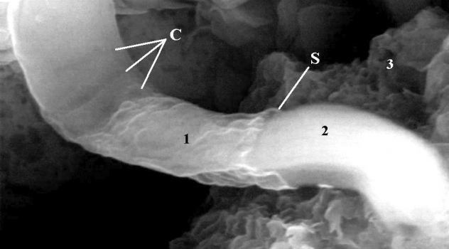
E' una pubblicazione molto corposa, frutto di ben 10 anni di ricerche, al termine delle quali sarebbe risultato assolutamente certo che le tracce trovate all'interno dei meteoriti Alais, Ivuna e Orgueil dopo averli spaccati sono fossili di batteri che, proprio perchè all'interno delle rocce spaziali, non possono essere di provenienza terrestre, ma devono essersi formati su un altro pianeta, da cui i pezzi di roccia si sarebbero staccati a causa della caduta di altri meteoriti, e dopo alcuni milioni di anni di girovagare nel sistema solare, sarebbero infine precipitati sulla Terra.
Anche se può sembrare rocambolesco e assurdo, in realtà questo processo di migrazione di rocce tra pianeti del sistema solare è scientificamente provato, e sono diversi i meteoriti marziani rinvenuti sulla Terra: li si può riconoscere dall'analisi dell'atmosfera racchiusa nelle piccole bolle che si trovano all'interno dei meteoriti, perchè l'atmosfera di Marte è ovviamente nota grazie alle innumerevoli sonde che hanno visitato il pianeta, e a quanto ne sappiamo è rimasta immutata per molti milioni di anni, non essendo presenti forme di vita in grado di alterarla.
La particolarità di questa nuova ricerca è che gli autori hanno pubblicamente richiesto a centinaia di scienziati di tutto il mondo di effettuare gli stessi esami e controlli che hanno fatto loro, per avere una verifica, o una smentita, della loro scoperta, che se fosse reale sarebbe davvero clamorosa.
Cosa succederebbe, infatti, se avessimo finalmente la certezza matematica che la vita fuori della Terra non è solo possibile, ma esiste realmente, ed esiste da milioni o miliardi di anni? La vita sulla Terra ha impiegato circa 3 miliardi di anni a passare da organismi monocellulari all'uomo.